已检测到维罗尼气单胞菌(Aeromonas veronii)为可能的致病菌。
人们对未来治疗和预防方面的研究寄予厚望。
2025年10月,领先的水族用品制造商*GEX株式会社(总部:大阪府东大阪市;社长兼首席执行官:五味弘树)与东海大学泉翔太郎教授合作,对金鱼俗称“松果病(鳞片病)”的疾病进行致病菌鉴定和组织病理学分析。该研究成果已在日本水产学会2025年秋季会议上发表。
*富士经济株式会社《2023年宠物市场营销概览》水族箱/周边设备/水质调节剂 2022年制造商总份额(实际结果)
松果病是什么?
“松果病”是一种金鱼鳞片竖立如松果的疾病。
患病时,金鱼鳞片会竖起,这是一种难以治愈的鱼类疾病,通常会导致鱼体虚弱甚至死亡。它给养鱼户带来了严峻的挑战,但其病因至今尚未明确。
传统上认为病原体是嗜水气单胞菌(Aeromonas hydrophila),但近年来日本的相关研究病例很少,其感染机制和可重复性仍存在诸多未知之处。
研究概述
作为观赏鱼养殖用品的生产商,GEX有限公司的目标是“创造一个人们喜爱的鱼儿不会遭受疾病折磨的环境”,并进行了组织病理学观察,鉴定了致病细菌,以阐明松果病的病因。
| 项目 | 内容 |
|---|---|
| 研究对象 | 奈良县某养鱼场感染松果病的金鱼 |
| 分析方法 | 麻醉后,解剖鱼体,取肌肉、肾脏和腹腔液样本。 从培养基中分离细菌,并通过16S rRNA测序鉴定菌种。 将肌肉和肾脏组织用石蜡固定,并进行HE染色,用于显微镜观察。 |
研究結果
分析结果表明,虽然分离出的菌种因个体而异,但许多个体中均检测到了能运动的维罗尼气单胞菌(Aeromonas veronii)。此外,即使是同一菌种的维罗尼气单胞菌,不同个体间的基因序列也存在差异,这表明需要进行更详细的分类和分析。然而,也有一些患病个体未检测到维罗尼气单胞菌,这提示可能存在多种致病因素。
组织病理学观察结果
显微镜观察显示,松果病患者存在以下异常:
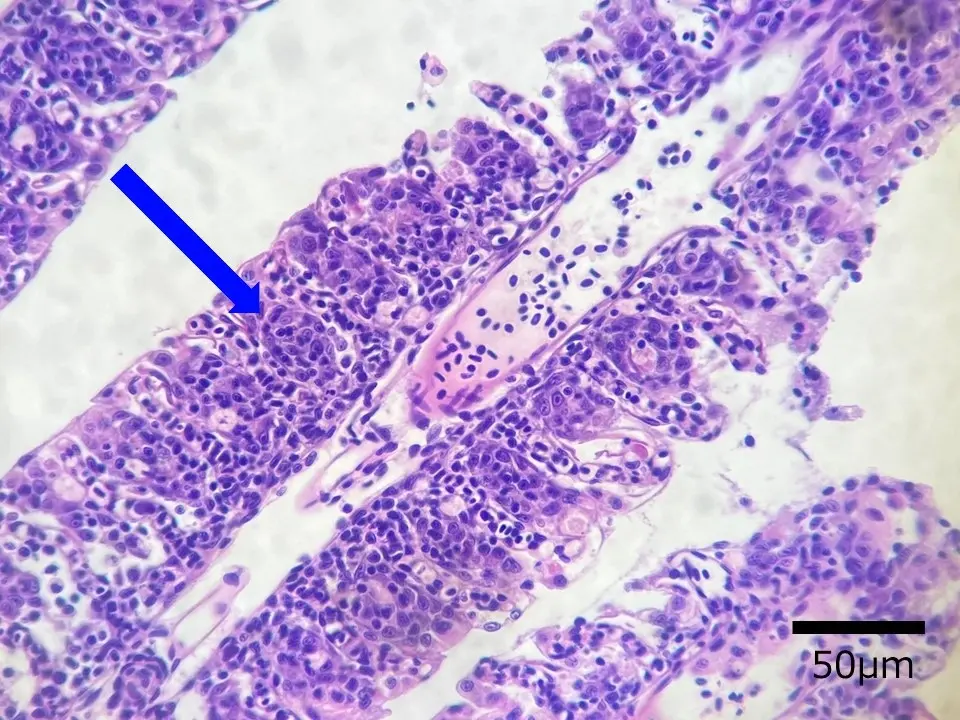
- 鳞囊水肿(体表组织)
- → 观察到鳞囊内积液,导致水肿(图 1 和图 2)。
- 肾脏异常
- → 观察到肾小体和肾小管内水肿及异物样结构(图 3)。
- 卵巢和鳃异常
- → 观察到卵膜细胞与卵母细胞分离以及鳃丝呈棒状等变化(图 4 和图 5)。

图1. 患有松果病的兰寿金鱼
图2. 患有松果病的金鱼体表鳞囊水肿
图3. 患有松果病的金鱼肾脏异常
图4. 患有松果病的金鱼卵巢异常
图5. 患有松果病的金鱼鳃异常

图2. 松果病金鱼体表鳞囊水肿。蓝色箭头:鳞片。红色箭头:体表。鳞片与体表之间的间隙清晰可见(HE染色,显微镜放大倍数×400)。

图 3. 患有松果病的金鱼肾脏中的异常情况。蓝色箭头:输尿管中的异物。红色箭头:肾脏中的水肿样组织(HE 染色,显微镜放大倍数 x400)。

图 4. 松果病金鱼卵巢中观察到的异常。蓝色箭头:卵泡膜细胞从初级卵母细胞脱落。红色箭头:卵泡膜细胞从次级卵母细胞分层(HE染色,显微镜放大倍数×400)。

图5. 松果病金鱼鳃部异常。蓝色箭头:棒状次级鳃丝(HE染色,显微镜放大倍数×400)
未来展望
我们计划继续采集松果病患者的样本,以确定具体的病原体。我们还将确认松果病复发与水温、水质等外部因素的关系,并加快研发有效的防治产品。
研究报告信息
- 报告:2025年日本水产学会秋季会议
- 合作研究机构:东海大学泉翔太郎教授
- 报告主题:金鱼松果病病原体的鉴定及组织病理学分析
- 报告详情:点击此处查看研究成果
会社概要
公司名称:GEX株式会社
地址:大阪府东大阪市今目1-14-15
代表:社长兼CEO 五味弘树
业务范围:水族箱及宠物用品的生产和销售
官方网站:https://www.gex-fp.co.jp/
文章摘要
- GEX株式会社与东海大学对感染松果病的金鱼进行了组织病理学和细菌学分析。
- 在多条金鱼体内检测到疑似致病菌为维罗尼气单胞菌(Aeromonas veronii)。
- 肾脏、卵巢、鳃等多个器官均出现异常,表明该病的复杂性。
- 未来的研究将继续分析感染机制和外部因素,并致力于开发治疗和预防该病的有效产品。
■新闻稿来源:GEX株式会社






No comments yet.